HU

Ismerje meg Dr. Gyarmatit!

DR. GYARMATI IMRE a "Doctor Of Dental Surgery" (fogszakorvosi) diplomáját 1995-ben a Washington Állami Egyetemen érdemelte ki. 2002-ben szerezte meg a képesítését implantológiából a London Institute Of Washington-on és 2004-ben fogszabályozás diplomát vett át az USA-ban. A fogorvosi hivatás előrehaladásának és művészetének elkötelezettjeként 1999-től a Washington Egyetem Fogorvosi Tanszékének előadója.

Dr. Gyarmati Imre átfogó fogorvosi rálátása és technikája a sokoldalú képzettségében és gyakorlatában rejlik. Egyedi, logikus, szisztematikus és érthető megközelítése a komplex klinikai szituációknak, megkülönbözteti őt más fogorvos / pedagógusoktól. Privát praxisa kizárólag a legmagasabb szintű páciens ellátásra orientálódik, átfogó és esztétikai megoldásokat alkalmazva.

fogászat debrecen

Mosolyszerviz Fogászat Debrecen

Debreceni fogászati rendelőnkben a legminőségibb fogorvosságra törekszünk. Széles skáláját ajánljuk a szolgáltatásoknak, beleértve a legújabb kozmetikai eljárást, mosolytervezést az általános fogászati eljárásig. Kattintson az alábbi szolgáltatásokra bővebb információért. Kérdés esetén forduljon hozzánk bizalommal e-mailen keresztül.

  • Mosolyelemzés és tervezés

    Mosolyelemzés és tervezés - Mosolyszerviz Fogászat Debrecen


    A mosoly elemzés célja, kialakítani a legszebb mosolyt, ami egyedülállóan az Öné. Ez egy igazi művészeti forma és ennek Dr. Gyarmati Imre, a debreceni Mosolyszerviz Fogászat fogorvosa bizonyítottan az egyik mestere.

    A fogak színét, alakját, struktúráját és pozícióját analizáljuk. Kiértékeljük a fogakat az arc méretéhez, a bőr színéhez, szemszínhez, ajak pozíciójához képest, és megnézzük mennyi fogat és ínyt lehet látni nevetéskor, megbeszéljük az elvárásokat és azt az elképzelést, ami az Öné az új tökéletes mosolyáról.

    Az elképzelés és megvalósítás az Ön új mosolyáról, a mosolytervezés, ahol Dr. Gyarmati Imre debreceni fogorvos gyakorlata és tehetsége valóra válik.

    Egy olyan mosolyt alkotni, amely megfelel az Ön egyéniségének funkcionálisan, természetes és tartós, az elsődleges célja a mosolytervezésnek. Ennek a folyamatnak minden lépését Dr. Gyarmati Imre fogorvos saját kezűleg oldja meg a fotók, tanulmányok, kiértékelések segítségével. Ez az út, ami biztosítja a lehető legjobb végeredményt és ez szintén a legjobb út az Önnel történő kommunikáció felé, mely elősegíti a folyamat gyors és eredményes befejezését.

  • Mosoly átalakítás

    Mosoly átalakítás - Mosolyszerviz Fogászat Debrecen


    A mosoly átalakítás a tényleges transzformáció a régiből az újba. Ez magában foglalhatja az egyszerű fogfehérítéstől kezdve a teljes szájátalakítást. A választás az Öné.

    Ami Dr. Gyarmati Imrét, a debreceni Mosolyszerviz Fogászat fogorvosát megkülönbözteti az, hogy az Ön igényeit és szükségeit figyelembe véve megtalálja a megfelelő anyagokat, technikát, időtartamot, egészségi állapotot és létrehozza az Ön új csodálatos, személyre szóló mosolyát.

    Tulajdonképpen Ön megkapja az Ő 16 éves gyakorlatát, azt a hitet, hogy Ön is mostmár a „család” tagja és ezáltal az ezzel járó kezelést.

  • Veneer

    Veneer (laminálás, minimális preparáció, vagy teljes preparáció)

    Mosolyszerviz Fogászat Debrecen


    Egy Veneer (laminálás) lehet nagyon vékony (0,2 mm), vagy vastag (néhány mm) porcelán vagy kompozit, mely a fogra van ragasztva. Bármely fogfelületre felragaszthatóak esztétikai, vagy funkcionális változtatásként. Az első fogak külső felületére ragasztva megváltoztatják a fogak alakját, színét, bezárják a hézagokat és visszaállítják a korrekt méreteket, melyek a fogkopásból, vagy traumából jöttek létre.

    A Veneerek eredményesen ki tudják blokkolni a sötét elszíneződéseket, melyek különböző gyógyszerek hatására jönnek létre a deformált fogzománcban. Szintén rá lehet ragasztani a hátsó fogak rágófelületére (onlay), melyek megváltoztatják a harapást, helyreállítják a kopott fogakat, vagy csökkentik a fogak érzékenységét. A Veneerek sokoldalú és előre látható célja visszaállítani a fogak megfelelő alakját, funkcióját, végső soron az igazi mosolyt.

    A Veneerek akár évtizedekig is funkcionálhatnak, ugyanazokat a tisztítási és karbantartási módszereket alkalmazva, melyeket a természetes fogaknál is használunk. Ezekkel az előnyökkel a Veneer a tervezés hibátlan választása azoknak, akik a legkiválóbb rekonstrukciót szeretnék alkalmazni a mai legjobb fogorvoslási tudás szerint. Amikor Veneerek készülnek a legmagasabb színvonalon, láthatatlanul természetesek, még a beavatott szemnek is nehéz megkülönböztetni a természetes fogtól.

  • Bonding (Direkt kompozit helyreállítás)

    Bonding (Direkt kompozit helyreállítás) - Mosolyszerviz Fogászat Debrecen


    A kompozit a fog felszínére ragasztva sok tekintetben ugyanazt a hatást éri el, mint a Veneer. A Bonding előnye, hogy egy időpont alatt elkészíthető, a legkevésbé kívánja meg a fogak preparálását, könnyen változtatható vagy javítható, anyagilag kevésbé megterhelő és azonnali végeredményt nyújt. A hátrányai mellett, melyek az anyag erőssége, lassú elszíneződése, még mindig egy csodálatos lehetőség a fogak esztétikai helyreállításának.

    Dr. Gyarmati Imrének, a debreceni Mosolyszerviz Fogászat fogorvosának egyik erőssége a Bonding technikában bontakozik ki, mely egy nagyon magas fokú előképzettséget és anyagi ismeretet igényel.

  • Teljes száj rehabilitáció

    Teljes száj rehabilitáció - Mosolyszerviz Fogászat Debrecen


    Dr. Gyarmati Imrének, a debreceni Mosolyszerviz Fogászat fogorvosának szakértelme és művészete a teljes száj rehabilitációban mutatkozik meg igazán. A teljes száj rehabilitáció hangsúlyozza egy új mosoly megjelenését, kijavítja a hibás harapást és javítja az egészségét a páciensnek. Ez az eljárás általában azoknak a betegeknek fontos, akiknek komoly roncsolódás keletkezett a fogain az hosszú évek során, vagy trauma érte a fogakat, melyek fájdalmasak is lehetnek. Csorba, rövid, kopott fogak, rágáskor fájdalmas fogak, állkapocs fájdalmak, fejfájás, hiányos fogak, törött, szuvas fogak, fogágysorvadásban szenvedő fogak, gyökérkezelt törött fogak mind javítható a teljes száj rekonstrukció alatt. A forma és funkció kidolgozása a kozmetikai fogászat keretein belül, megvalósítva a korrekt fogzárási pozíciót, végre eljuttatja a pácienst az új mosolyhoz, mely gyönyörű és kényelmes. Teljes száj rehabilitáció az egyik kulcsfolyamat, melyet a rendelőnkben alkalmazunk, minden olyan betegen, akik már minden reményt feladtak a fogászati lehetőségekben.

    Felhasználva a forma követi a funkció eszmét, Dr. Gyarmati Imre fogorvos megméri az állkapcsok pozícióját és megállapítja a korrekt pozíciót (Neuromuscular fogászat). Ez az eljárás magában foglalja az állkapocs ízület hangjának kiértékelését, az izommozgás feldolgozását nyugalmi helyzetben és rágáskor, illetve az állkapocsmozgás útjának követését teljes összezáráskor. Ezen információk felhasználásával megállapítjuk az állkapocsnak a legmegfelelőbb pozícióját, a megfelelő kényelemhez és esztétikumhoz.

    Amikor ezt a pozíciót megállapítottuk, különböző módok (fogtechnikai terápia, újra kontúrozás, fogszabályzás, konzerváló fogászat, vagy szájsebészeti beavatkozás) alkalmazhatók az állkapocs természetes, kényelmes pozicionálásához. A végső megoldás magában foglalhat nagyon sok technikai kombinációt és anyagokat, melyek egyénre szabottak. Az alapelv a következő: megteremteni a legszebb, legtermészetesebb, legkényelmesebb, legegészségesebb, hosszútávú végeredményt. Ez igazán teljes mértékben megújít egy emberi életet!

  • Implantátum (Fogbeültetés)

    Implantátum (Fogbeültetés) - Mosolyszerviz Fogászat Debrecen


    A fogorvosi technológia soha nem volt ennyire előrehaladott, mint ma! A csontba integrálódó implantátumok megadták a lehetőséget a hiányzó fogak pótlására, melyek ugyanolyan jók lehetnek, mint az eredetiek voltak.

    Hiányzó fogak miatt mulasztja el a lehetőségeit?

    Hiányzó fogak és lötyögő műfogak sok embert az élet tartalékpadjára kényszerítenek. A mai modern kezelési tervek megoldják az egyetlen hiányzó fog, illetve az összes hiányzó fog dilemmáját.

    Kérdezze meg Dr. Gyarmati Imrét, a debreceni Mosolyszerviz Fogászat fogorvosát az Ön számára megfelelő implantátumokról. Ne engedjen még egy napot elmúlni anélkül, hogy megtenné ezt a fontos lépést a magabiztosság és mosoly felé!

    A hagyományos kezelés szerint híd, vagy részleges protézis megoldhatja az ideiglenes, rövidtávú kozmetikai problémát, de nem oldja meg a csontveszteséget, mely a foghiányból származik. Hidak készítéséhez le kell csiszolni legalább kettő, de néha több egészséges fogat is, mely ezeket a fogakat jóval hajlamosabbá teszi a szuvasodásra, illetve a foggyökérkezelésre. Ha ezek a tartópillérek elromlanak, talán még több egészséges fogat kell feláldoznunk tartópillérként, míg a csont tovább sorvad a híd alatt!

    Fogbeültetésnél az egészséges fogakhoz nem nyúlunk az implantátum mellett. Az implantátumok, akár a természetes fogak, szintén továbbítják a rágási erőt az állkapocscsonthoz, mely csökkenti a csontveszteséget. A legtöbb vezető fogorvosi egyesület a világon ezekért az előnyökért ismeri el az implantátumokat, mint irányadó kezelést.

  • Koronák és hidak

    Koronák és hidak - Mosolyszerviz Fogászat Debrecen


    A korona egy fedő borítás a fognak, mely újjáépíti a fogat az eredeti normális alakjára, méretére, megerősíti és javítja a fog külső megjelenését. A koronák, melyeket egy magasan végzett mester technikus készít, legalább olyan minőségűek, mint az eredeti (le nem rombolódott) fog, ha nem jobb! Ennek eléréséhez kiértékeljük a fog színét, alakját, a hosszát és a harapást. Ha van valami különleges kívánság, ami szerint a fogakat szeretné elrendezni, ezt átbeszélhetjük, hogy végeredményben ezek a fogak erősek és gyönyörűek legyenek.

    Vannak esetek, melyben a hiányzó fog pótlására implantátum nem kivitelezhető, ebben az esetben egy vagy több tagra függeszthető koronát alkalmazunk, melyet hídnak nevezünk. A helyes technikát és anyagokat alkalmazva, keverve egy kis művészettel, ezek a hidak nagyon természetesek és kényelmesek lehetnek.

  • Fogszabályzás (Orthodontia)

    Fogszabályzás (Orthodontia) - Mosolyszerviz Fogászat Debrecen


    Néha ahhoz, hogy egy tökéletes mosolyt tudjunk tervezni és kivitelezni, fogszabályzással kell fogakat a megfelelő helyre mozdítani. Ezekkel a mozdításokkal elérhetjük azt, hogy a fogak egy sokkal stabilabb, időtállóbb helyre kerüljenek és jóval konzervatívabb tervezést eredményez. Kivehető és fix fogszabályzó technikát alkalmazva érjük el a leggyorsabb és legjobb eredményeket. Sok esetben a kivitelezéshez olyan kis idő kell, mint három hónap.

  • Állkapocscsont helyreállítás

    Állkapocscsont helyreállítás - Mosolyszerviz Fogászat Debrecen


    Az egyik legnagyobb hátránya egy hiányzó fognak a csontsorvadás, hiány, amely eredetileg körülvette a foggyökeret (alveolus). Ez minden foghúzás későbbi következménye, és ez a szituáció minél tovább fennáll, annál több csont tűnik el. Sokszor ez a csonthiány (vastagság, magasság) akadályozza meg a teljes értékű fogászati rendbehozást. Ahhoz, hogy a későbbiekben ez ne történjen meg, különböző technikával és anyagokkal meg tudjuk tartani, illetve visszanyerni ennek az alapfontosságú csontnak a dimenzióit, ez után az eljárás után egyszerűbbé és kivitelezhetővé válnak olyan fogászati helyreállítások, mint az implantátum, vagy a koronák és a hidak.

  • Fogágy terápia

    Fogágy terápia - Mosolyszerviz Fogászat Debrecen


    Védje meg a fogát és védje meg az életét! Ez az állítás nem is esik olyan messze a valóságtól, mint ahogy azt gondolná. A mai tudomány is alátámasztja azt az állítást, hogy nagyon szoros kapcsolat áll a száj egészsége és az általános egészség között. Közvetlen kapcsolat van a fogágy gyulladás és a szívbetegség között, mely csak egy a krónikus betegségek hosszú listájáról.

    Egészséges íny és fogágy a fogak körül abszolút fontos egy vonzó, kényelmes, működő mosolyhoz, arról nem is beszélve, hogy egyszerűen csak egészségesebb!

    Attól függetlenül, hogy az íny egészségesnek tűnhet, a legvonzóbb mosolyok is veszélyben vannak, hiszen több mint 85 százaléka az embereknek hordoz valamilyen formájú ínysorvadást. A legtöbb ember ezt észre sem veszi.

    A probléma ott kezdődik, hogy az ínysorvadás szövevényes és megfoghatatlan is lehet. Gyakran félrediagnosztizált, vagy egyszerűen csak semmibe vett. Sokszor nincs semmilyen szembetűnő jele, javarészt azonban az íny felhúzódhat a fognyakról, mely a fogszuvasodást segíti elő, fogágy gyulladás jöhet létre minden előjel, vagy vérzés nélkül, érzékenységet is okozhat.

    Sok ember azonban érzi ezeket a kis tüneteket is, melyek lehetnek: a vérzés fogmosáskor és fogselymezéskor, íny puffadtság, vörös és érzékeny íny, szájszag és fellazult fogak. A mindennapi szájhigiénia, az egészséges immunrendszer és az egyén genetikája, mind szerepet játszik abban, hogy a páciens megtartja, vagy elveszti fogait. A jó hír az, hogy az ínysorvadás megelőzhető, kezelhető és sok esetben visszafordítható. A legjobb dolog viszont az, hogy a mai modern fogorvosság az ínysorvadást minimális kényelmetlenség okozásával tökéletesen tudja kezelni. Egy dolog biztos, ha nem teszünk semmit az ínysorvadás ellen, akkor fogaink elköszönnek tőlünk!

  • Koronahosszabbítás

    Koronahosszabbítás - Mosolyszerviz Fogászat Debrecen


    Vannak olyan szituációk, amikor egy egyszerű ínykontúrozás nem kivitelezhető ahhoz, hogy a fogak megmutassák igazi méreteiket. Dr. Gyarmati Imre, a debreceni Mosolyszerviz Fogászat fogorvosa ilyenkor egy olyan minimális beavatkozással járó technikát alkalmaz, mely gyakorlatilag azonnal biztosítja a gyönyörű mosolyt, mely idáig az íny/csont alatt bújt meg. Ennek a kis sebészeti beavatkozásnak minimális az utóhatása, kényelmetlensége és körülbelül 2 hónap alatt a fog készen áll a végleges helyreállításra.

  • Íny újrakontúrozás

    Íny újrakontúrozás - Mosolyszerviz Fogászat Debrecen


    Sokszor egy gyönyörű mosoly egy szimmetrikus mosoly. Az íny kontúrja segít bekeretezni a mosolyt, amely valósággal meghatározza, létrehozza a gyönyörű, fénylő mosolyt. Dr. Gyarmati Imre, a debreceni Mosolyszerviz Fogászat fogorvosa egy igazi művész, amikor egy hamisítatlan mosolyt kell varázsolni, átformálva az ínyt, mely idáig betakarta a fogakat. A pácienseknek igen meglepő, hogy egy ilyen egyszerű megoldással milyen hihetetlen változáson megy keresztül a mosoly és az ember. Ez a megoldás óriási magabiztosságot ad a pácienseknek, mivel már ők is érzik, milyen változáson ment keresztül a mosolyuk.

  • Fogfehérítés

    Fogfehérítés - Mosolyszerviz Fogászat Debrecen


    A mosolya fontos! Ez az első dolog, ami szembeötlik egy találkozásnál. Egy fehér, gyönyörű, csillogó mosoly segít abban, hogy több önbizalma legyen, és maradandó benyomást keltsen egy másik emberben.

    Az életvitel és a kor is közrejátszik a fogak elszíneződésében, elsárgulásában. Sok dolog, amit minden nap csinálunk, hozzájárul az elszíneződéshez, például a kávéivás, a tea, a kóla, a vörösbor fogyasztása, valamint a dohányzás.

    A fehérítés magában is egy új szintre emelheti a mosolyt. A nem profi eljárások rendszerint nem teljesítik a hozzáfűzött elvárásokat. Olyan eljárást kell keresni, mely:

    - gyors és kényelmes,
    - sokáig működik,
    - kevés érzékenységgel jár,
    - bizonyítottan biztonságos és működőképes,
    - szakorvosi eljárás.

    A debreceni Mosolyszerviz Fogászaton Dr. Gyarmati Imre fogorvos szakértelmével, az általa alkalmazott eljárással és az Ön közreműködésével elérhetjük a legnagyobb, legszebb változást a mosolyában.

  • Száj- és fogsorvédők

    Száj- és fogsorvédők - Mosolyszerviz Fogászat Debrecen


    A szájvédők védik a fogat és az ínyt sportolás közben, mely egyénileg készített csak az Ön fogaira. Kényelmesek és védelmezők. Ha kopott, töredező fogai vannak, és úgy érzi ébredés után, hogy az állkapcsa fáradt és fájdalmas, akkor az első és legjobb megoldás egy akril fogsorvédő. Mi, a debreceni Mosolyszerviz Fogászaton egy olyan különleges anyagot használunk, mely puha a fogak körül, de sima és kemény a felszínen, amely megakadályozza az elhasználódását. Dr. Gyarmati Imre fogorvos sikeresen alkalmazza ezeket a védőket, melyek használata nem működött idáig, de ma már ezek kényelmessé váltak azáltal, hogy egyénre szabottak.

  • Retainer

    Retainer - Mosolyszerviz Fogászat Debrecen


    A Retainer egy olyan fogszabályzó, fogorvosi eszköz (rendszerint kivehető), mely a fogszabályzás után majdnem minden esetben kötelező ahhoz, hogy a fogak ne mozduljanak vissza az eredeti helyükre. Ezt a mozgást előzi meg a Retainer.

    A legtöbb Retainer átlátszó műanyagból készül, mely akár napközben is hordható. Ezek a „tárcák” csak a páciens fogára készülnek, kényelmesek, láthatatlanok.

    Néha a legjobb megoldás az alsó/első fogakra, egy a nyelvoldali részre ragasztott vékony huzal, mely megakadályozza az alsó fogak mozgását.

  • Amalgámcsere

    Amalgámcsere - Mosolyszerviz Fogászat Debrecen


    Az amalgámcsere egyre gyakoribb most, hogy a kompozit tömőanyagok népszerűbbé váltak. Sok oka van ennek a változásnak. Az amalgámtömések a legegyszerűbben fogalmazva csúnyák a színük miatt. Bárhogy felpolírozzuk, a természetellenes színe látszik a szájban. Az amalgám régen nagyon közkedvelt volt, mert könnyű volt használni, nagyon olcsó a kompozithoz képest. A kompozitok már nagyon sokat javultak ebből a két szempontból. A mai napig sok fogorvos vitázik az amalgámon, de mára már nagyon sok fogorvos átváltott a kompozitokra. Dr. Gyarmati Imre, a debreceni Mosolyszerviz Fogászat fogorvosa kizárólag kompozitot használ rendelőjében.

    Egy másik fontos oka az amalgámcsérének a potenciális egészségkárosító hatása. Ezek a tömések higanyt használnak, mely köztudottan mérgező. Ez a tény ma is óriási viták tárgyát képezi, mivel nem lehet biztosan tudni, hogy ez a higany beszivároghat e a szervezetbe egészségügyi problémákat okozva. Javarésze a pácienseknek nem akarja megkockáztatni ezt az egészségügyi állapotot, így a kompozitot választják tömőanyagként.

    Egy szebb mosolyt alkotni gyakran már azzal is lehet, hogy kicseréljük az amalgámokat. Nagyon sok páciensnek óriási régi amalgámmal vannak feltöltve a fogai javarésze, amely nagyon leértékeli a mosolyukat. Kivenni ezeket az amalgámokat és kicserélni kompozitokra, segít azonnal varázslatossá tenni ezeket a mosolyokat.

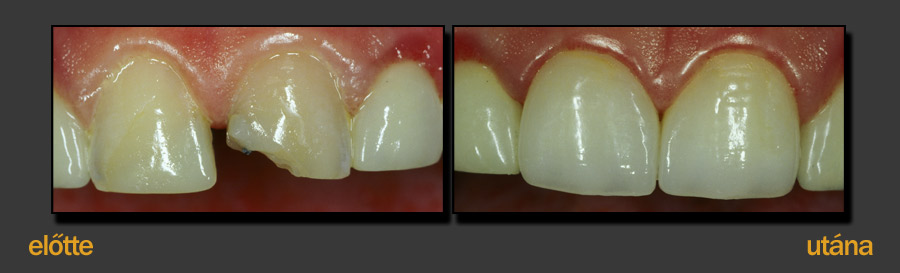
Mosolygaléria Fogászat Debrecen


Tekintse meg Dr. Gyarmati munkáit.

fogászat debrecen fogorvos debrecen fogorvos debrecen fogászat debrecen debrecen fogorvos debrecen fogászat gyarmati fogorvos gyarmati fogorvos gyarmati fogorvos gyarmati fogorvos gyarmati fogorvos gyarmati fogorvos gyarmati fogorvos gyarmati fogorvos gyarmati fogorvos gyarmati fogorvos gyarmati fogorvos gyarmati fogorvos gyarmati fogorvos

Kapcsolat - Mosolyszerviz Fogászat Debrecen

Mosolyszerviz Fogászat Debrecen
Tel.: +36-70 / 253-5344
Cím: Debrecen, Darabos u. 10. Fsz.2.
E-mail: imretibor@gmail.com
Rendelés: H-Sz-P: 9:00 - 17:00

Hibás adat! Köszönjük! Rövidesen kapcsolatba lépünk Önnel.

MOSOLYSZERVIZ FOGÁSZAT DEBRECEN